Each week, Live Science highlights an intriguing case report from the medical literature, where we explore unusual symptoms, rarely seen diagnoses and out-of-the-box treatments. Through this “Diagnostic Dilemma” series, we describe how doctors work to ultimately discover the cause of a patient’s ailment. In complex cases, this diagnostic process can be quite arduous. That’s part of why doctors share case reports: to help other medical professionals who might be facing the same puzzle.
Here are 12 of our most intriguing Diagnostic Dilemmas from the past year. (If descriptions of medical symptoms and procedures make you squeamish, proceed with caution.)
1. Boy spoke foreign language after surgery
A Dutch teenager got knee surgery to treat a soccer injury, and upon waking up from anesthesia, he spoke only English — a language he’d previously spoken only in language classes at school. He kept insisting he was in the U.S., did not recognize his parents, and could not speak or understand spoken Dutch, his native language. Exams turned up no neurological abnormalities, and the doctors didn’t initiate any specific treatment to address the language issue. Within 18 hours of surgery, the boy could understand some Dutch but not speak it without struggling. But then suddenly, he could both understand and speak it as normal. The doctors described the event as a strange case of “foreign language syndrome.”
2. Woman with no vaginal opening gets pregnant via oral sex
A teenager reported to a hospital with abdominal pain, and examinations soon revealed that she was nine months pregnant and that she was having contractions. When doctors examined the patient’s reproductive tract, they found that she lacked a vaginal opening — a rare condition called distal vaginal atresia. Because of this, the medical team had to deliver the baby — a healthy, 6.2-pound (2.8 kilograms) boy — via cesarean section. The teenager had been seen at the same hospital about nine months prior, when an ex stabbed her after finding her fellating a new boyfriend. The wounds she incurred during the stabbing likely allowed sperm to escape her digestive tract and make their way to her reproductive tract, resulting in an unlikely pregnancy, her doctors theorized.
3. Man stabbed by huge fish
A man was brought to a hospital by boat and helicopter after incurring an injury while fishing. He’d caught a white marlin (Kajikia albida) — a large fish with a long, pointy “bill” — and when he leaned over the edge of his boat to release his hook from the fish, it jumped up and struck him. At the hospital, doctors found a fragment of the fish’s bill lodged in the man’s throat, spinal canal and base of his skull. With an emergency surgery and antibiotics to prevent infections, the man survived the encounter without any long-term symptoms.
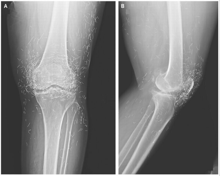
4. Acupuncture led to joint injury

A woman with osteoarthritis of the knee began getting acupuncture regularly when her pain medications started causing bad stomach issues. But her knees then became very sore, and she went to a hospital to be examined. X-rays revealed areas of her joints and shinbones where the bone tissue had thickened and spurs had formed. Additionally, hundreds of tiny flecks could be seen around both knee joints. It turned out that the woman’s acupuncturists had left golden threads inside her knees on purpose as part of her treatment. In other cases, these threads have caused cysts and tissue damage, which can happen when they migrate through the body.
5. Man experiences rare meat allergy
A man in Michigan went to an ER with swollen eyelids and an itchy rash, and he noted that he’d also been experiencing cramps, nausea, abdominal pain and vomiting over the preceding days. When doctors examined the patient, they uncovered signs of anaphylaxis, a severe allergic reaction, and his condition quickly progressed to shock. The medical team successfully stabilized the patient, but a few days later, his condition worsened again. At that point, the doctors spotted a pattern: The symptoms arose when the man ate red meat. An allergy to meat, a condition called alpha-gal syndrome, can be triggered by the bite of certain tick species. It turned out that the man was an avid deer hunter who likely encountered an adult tick or tick larvae while hunting, his doctors concluded.
6. Woman had XY chromosomes in her blood
A woman had her chromosomes checked following a pregnancy loss to see if there might have been an underlying genetic reason for the miscarriage. The test revealed that, at least in the woman’s blood, her chromosomal profile (or karyotype) was 46,XY — the typical karyotype among males. Further tests revealed that across the rest of her tissues, her karyotype was 46,XX, the typical chromosomal profile of a female. The woman had a fraternal twin, so in this case of “chimerism,” the doctors concluded that the XY chromosomes likely came from her brother in the womb but somehow assimilated them only into her blood cells. The doctors suspected the “veins and arteries of the two children became intertwined in the umbilical cord” at some point. The woman had no overt symptoms tied to carrying these chromosomes in her blood and later went on to carry a pregnancy that resulted in the birth of a baby boy.
7. Woman injects herself with black widow venom
A woman visited an emergency room with a headache, severe cramps and muscle pain, as well as an elevated pulse, breathing rate and blood pressure. She told doctors she’d attempted to get high by injecting a ground-up black widow spider (Latrodectus) into her veins in a suspension of distilled water. The doctors suspected the injected dose of black-widow venom was likely much higher than one would get from a bite, and its effects may have been exacerbated by the patient’s allergic reaction to proteins in the venom. After the patient had been treated for several days in an intensive care unit, her symptoms resolved and she was discharged.
8. Nut allergy was triggered by ejaculate
A woman developed hives, swelling under her skin and trouble breathing after having sex with her partner. While receiving treatment at a hospital, she reported having a known allergy to Brazil nuts. She said that her partner ate them a few hours prior to sex but that he’d taken a bath and washed his hands thoroughly before intercourse. When the doctors conducted a skin-prick allergy test, using samples of the partner’s semen, before and after he ate Brazil nuts, they found that the allergy triggers could indeed pass through the semen and set off the woman’s allergy.
9. Rash mysteriously migrated

Following a cancer treatment, a man developed a red rash that started out near the anus and then spread rapidly to the trunk and limbs. The rash, which looked like wavy lines all over the patient’s body, appeared to migrate, with the lines starting out in one spot and later moving across the skin. A stool test revealed Strongyloides stercoralis, a parasite that can cause an infection called strongyloidiasis in humans. These worms were migrating under the man’s skin, and the infection likely arose because the patient’s immune system was stunted by glucocorticoids used in his cancer treatment.
10. Rare tooth-in-eye surgery performed
A rare autoimmune disorder injured a man’s corneas and extensively impeded his sight. To restore vision in one eye, doctors attempted an osteo-odonto-keratoprosthesis, or “tooth-in-eye surgery.” The procedure involves removing one of the patient’s teeth and implanting it in their eye socket, where it serves as a platform for a transparent, plastic lens. The lens stands in for the injured cornea and enables light to enter the eye. The man’s successful procedure was the first of its kind in Canada.
11. “Muscle-plumping” injections cause calcium spike
A man went to a hospital because he was experiencing weakness and vomiting. There, tests revealed that his kidneys were failing and the calcium in his blood was too high. Physical exams and scans revealed abnormalities in his upper-arm and chest muscles — namely, areas of superdense calcification. It turned out that the man had previously gotten injections of silicone-like, oil-based substances to “plump” up the look of his muscles. In this case, the injections triggered a persistent foreign-body reaction, resulting in extensive scarring and calcification of the muscle that leached calcium into the bloodstream.
12. Scientist catches plague from defanged bacteria
A lab worker came down with an infection that, despite medical treatment, ended up being fatal. His doctors were informed that the patient had worked with a weakened strain of Yersinia pestis, the bacterium that causes the plague. This weakened form of the germ was thought to be noninfectious, but nonetheless, the man contracted it. Further tests revealed that the man had unusually high levels of iron in his blood. One way the plague bacteria had been weakened was that its key gene for absorbing iron had been removed — but the man’s blood, which was chock-full of iron, may have enabled the germ to overcome this weakness and establish a deadly infection.
For more intriguing medical cases, check out our Diagnostic Dilemma archives.
This article is for informational purposes only and is not meant to offer medical advice.

