
The patient: A 60-year-old man in Warsaw, Poland
The symptoms: The man went to a hospital after experiencing vomiting for two days. Additionally, over the year prior, he had developed weakness and lost 40 pounds (18 kilograms) without trying to do so.
Doctors treated the patient with a diuretic to help remove excess calcium, as well as intravenous fluids, a steroid, and a calcium-lowering drug. His calcium levels briefly dropped, and he was discharged with a couple prescriptions. However, three weeks later during a follow-up, doctors found his blood-calcium levels had risen again, and he was admitted to a nephrology ward.
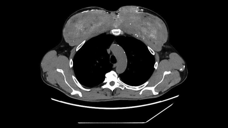
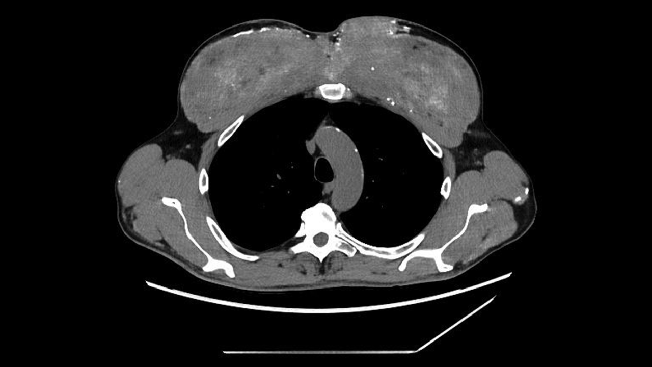
The man was generally stable, but a physical exam showed noticeable changes in his upper-arm and chest muscles, matching the irregularities seen on the scans. The doctors then revisited the patient’s medical history, and he shared a crucial detail: starting about 30 years earlier, he had started receiving “unknown intramuscular injections (probably containing testosterone)” into his chest and upper-arm muscles to enlarge them, according to a report of his case.
“He stressed that the last dose of these injections was received 2 years ago,” the report authors noted. The exact frequency at which he’d historically gotten the injections is unclear.
Blood tests showed that the man’s calcium-controlling parathyroid hormone was markedly low, ruling out a common hormonal cause of high calcium. The man also had no signs of hidden cancers in his digestive tract, no abnormalities on a urology evaluation, and no signs of an autoimmune condition. With other causes excluded, the medical team biopsied one of the abnormal muscle regions.
The diagnosis: Under the microscope, the muscle was filled with a silicone-like, oil-based substance and surrounded by dense calcium deposits. The team deduced that the man’s past muscular injections probably contained synthol, a substance made primarily of oil that visually “plumps” up muscles, essentially inflating them like water balloons.
In this case, the synthol had triggered a persistent foreign-body reaction — the body essentially responding to material it could not break down. Over time, this reaction produced scarring and calcification, storing large amounts of calcium inside the muscle. And eventually, that calcium made its way into his bloodstream.
The treatment: A couple earlier reports of similar cases suggested that surgically removing the calcified muscle would be the only reliable long-term treatment for the man’s persistently high calcium. In one previous patient, calcium levels returned to normal three months after the tissue was removed. However, in the man’s case, the authors did not state whether the patient ultimately underwent surgery, nor did they describe his long-term outcome.
What makes the case unique: Synthol injections typically contain 85% medium-chain triglycerides, 7.5% of a local anesthetic like lidocaine, and 7.5% alcohol, purportedly for sterility. The oils act as the muscle-bulking agent, as the body does not easily process them, and the effects of these injections can linger for years. Even though it comes with serious risks, such as muscle deformity, chronic wounds and scarring, synthol is relatively easy to buy.
Only two other cases of high blood calcium linked to synthol injections had been reported, the case report authors noted, and both were from Lebanon. The underlying mechanism driving the effect remains unclear. Synthol’s better-known complications usually appear soon after an injection, but in this patient, the effects apparently emerged years later, which made the cause unusually difficult to identify.
According to the authors, this case adds further evidence that “synthol intramuscular injections are among the causes of elevated serum calcium levels,” despite its rarity.
For more intriguing medical cases, check out our Diagnostic Dilemma archives.
This article is for informational purposes only and is not meant to offer medical advice.

