
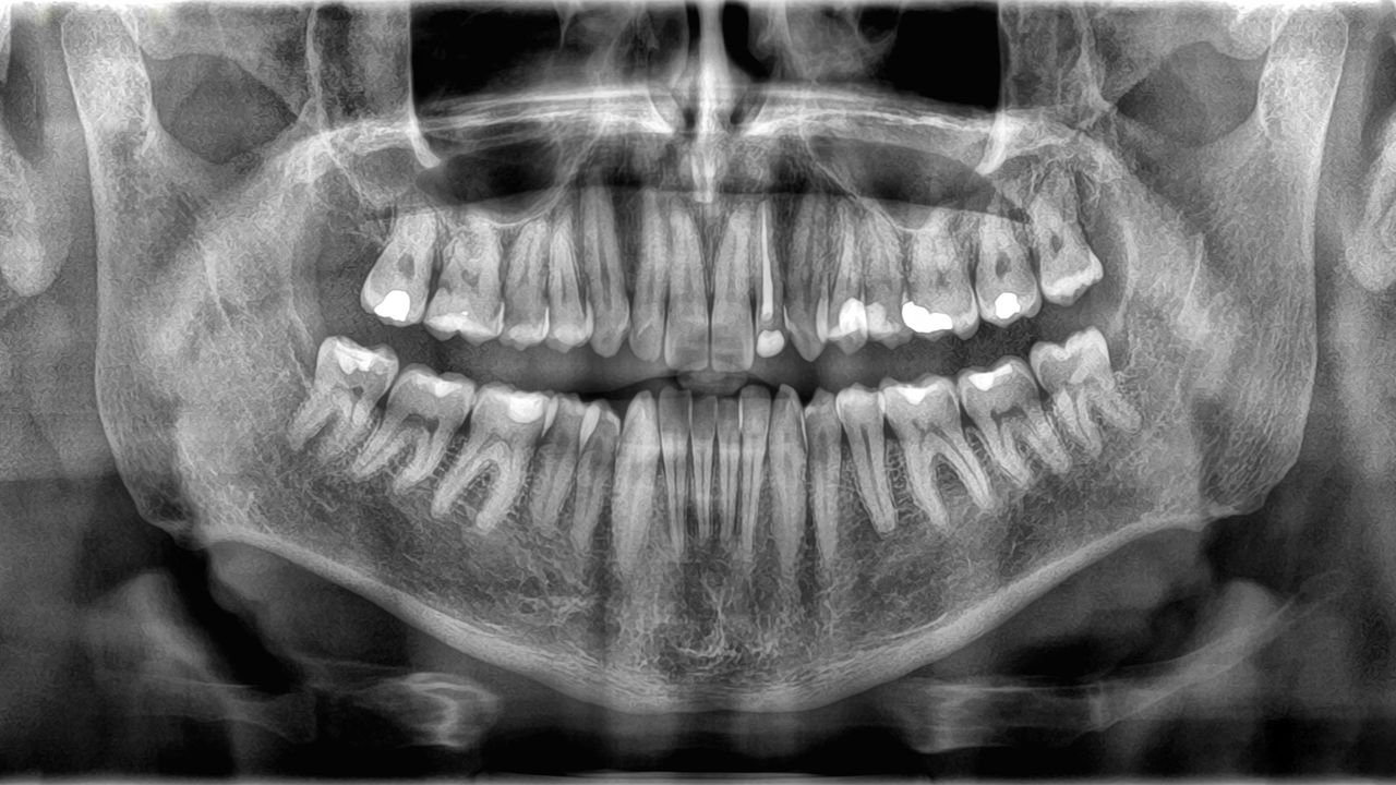
At first glance, teeth look a lot like bones: Both are hard, white and rich in calcium. So why aren’t teeth considered part of the skeletal system? Even though teeth and bones share a few basic similarities, they’re actually quite different.
The major resemblance between teeth and bones is what they’re made of: hard tissue composed of minerals, such as calcium, phosphorus, fluoride and magnesium. On a molecular level, these minerals form a solid crystal structure, which is what makes both teeth and bones so much harder than everything else in the body.
Functions of teeth and bones
One reason teeth aren’t considered part of the skeletal system is that teeth serve an entirely different function than bones do, Hewlett said. The primary job of teeth is to break down food as it enters the digestive tract, though they’re also important for producing speech. Due to their main job, your pearly whites are considered part of the digestive system.
Bones have different jobs. They provide structure and support to the body, creating attachment points for our muscular system. They also protect vital organs, housing key body parts such as the heart and lungs. And bones serve as production factories for both red and white blood cells, which carry oxygen around the body and play a key role in the immune system, respectively.
There is some small overlap in the functions of teeth and bones, though. The bones in the jaw do help to support the teeth and are important for chewing, for example.
“They work together but are separate,” Hewlett said.
Structure of teeth and bones
Because bones and teeth do different jobs, they’re also built differently. The outer structure of teeth is called enamel, a thin layer of mineralized tissue. Enamel is the hardest substance in the body — a property it gets from jam-packed crystals made from a compound of calcium and phosphate.
Underneath the enamel lies dentin, a type of mineralized tissue that’s slightly softer than enamel but still hard. Dentin makes up the majority of a tooth’s structure, and it contains tiny tubes that hold blood vessels and nerve endings. The core of the tooth is made of a jelly-like substance called pulp, which houses more blood vessels that provide nutrients to the tooth and to the nerves that control feeling in the tooth.
The structure of bones, on the other hand, looks completely different to that of teeth.
Bones are covered in a very thin, tough outer layer called the periosteum, which houses both blood vessels and nerves essential for growth and healing in the tissue. The next layer is composed of durable compact bone tissue. The inside of a bone contains cancellous tissue, a sponge-like substance with tiny holes that house bone marrow, where new blood cells are made.
Living vs. dead tissue
You might have noticed that, unlike teeth, bones are infused with nerves and blood vessels on both the inside and the outside. That’s because bones are living tissue, whereas teeth are not — and that’s one of the most important differences between the two.
Teeth form during fetal development and early childhood from specialized cells called ameloblasts and odontoblasts, which create layers of enamel and dentin that harden over time. Once that process is complete, the enamel-forming cells die off — meaning if a tooth is chipped or broken, that lost tissue won’t grow back. While the pulp on the interior of the tooth is composed of living tissue, it can’t help regenerate these outer layers of dentin or enamel.
Bones, by contrast, are dynamic structures that constantly remodel themselves. They contain a network of blood vessels, nerves and living cells called osteoblasts and osteoclasts that build new bone and break down old tissue, respectively. This constant turnover enables bones to heal after a fracture and to adapt to bodily changes, such as shifts in an individual’s stress or activity levels. In fact, most of the adult skeleton is completely renewed about every 10 years.
“Bone is more of a living part of the body,” Hewlett said. “But take care of your teeth — they won’t grow back.”

